Gửi email cho chúng tôi
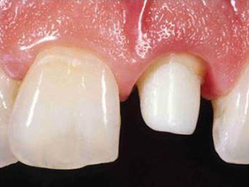
Giải pháp xây dựng lõi ultracore

Giải pháp xây dựng lõi ultracore

Giải pháp xây dựng cốt lõi ultracore mang đến cho bạn kết quả phục hồi tối đa và vận hành hợp lý, thể hiện các điều kiện lý tưởng để tạo xi măng vương miện chính xác.

Lợi ích của giải pháp xây dựng lõi ultracore

  • Tính năng nén và độ bền uốn vượt trội, mang lại sự phục hồi lâu dài.

  • Các đường Cắt giống như ngà răng tự nhiên và thể hiện các điều kiện lý tưởng để tạo xi măng vương miện chính xác.

  • Kỹ thuật bảo dưỡng kép cung cấp cho bạn ứng dụng dễ dàng hơn, loại bỏ sự lo lắng của bạn về tình hình trong ống rễ.

  • Hệ thống bóng nghệ thuật đáp ứng mọi nhu cầu thẩm mỹ của bạn. Nếu bạn theo đuổi vẻ ngoài thẩm mỹ tự nhiên tuyệt đỉnh, màu ngà răng nghệ thuật là lựa chọn lý tưởng của bạn.

Quy trình làm việc của Core Build-up

1. Điều trị tủy
1. Điều trị tủy

Loại bỏ bột giấy bị viêm hoặc bị nhiễm trùng ở bên trong răng.

2. xi măng gốc
2. xi măng gốc

Đặt trụ nha khoa vào giữa răng nơi mà bột giấy được sử dụng.

3. xây dựng cốt lõi
3. xây dựng cốt lõi

Lõi cung cấp sức mạnh và hỗ trợ, đảm bảo rằng bất kỳ phục hồi thêm.

4. xi măng vương miện
4. xi măng vương miện

Một xi măng nhựa đáng tin cậy có thể tạo ra một sự khác biệt lớn trong lần phục hồi cuối cùng.

Sản phẩm
TÌm Chúng Tôi

Chúng tôi mời bạn liên hệ với chúng tôi. Chỉ cần gửi tin nhắn cho chúng tôi hoặc gọi cho chúng tôi.

US Customer Service Manager:

Contact: Gabriella

E-mail: marketing@vincismile.com

Phone: 1-626-283-5808


Online Inquiries or Sales Questions:
US Inside Sales Manager:
Contact: Adrian
Phone: 1-626-400-1204

Email: adrian.r@nobildent.com

Giải pháp nha khoa vincismile liên quan
Bất cứ khi nào và bất cứ điều gì bạn cần, chúng tôi muốn cung cấp giải pháp tốt nhất cho bạn.
Liên hệ với chúng tôi